最近是不是觉得嘴巴里有点不舒服,牙齿隐隐作痛?别担心,这可能是蛀牙在作怪呢!今天,就让我带你一起走进蛀牙的世界,看看那些让人头疼的补牙过程,还有那些让人眼前一亮的补牙视频,让你对补牙有个全面的认识。

蛀牙,这个让人头疼的小恶魔
蛀牙,又称为龋齿,是牙齿最常见的疾病之一。它是由口腔中的细菌产生的酸性物质腐蚀牙齿表面,导致牙齿逐渐破坏的过程。据统计,我国成年人蛀牙的发病率高达90%以上,可见蛀牙的普遍性。

蛀牙的形成过程是这样的:口腔中的食物残渣和细菌混合,产生酸性物质,这些酸性物质会逐渐腐蚀牙齿的珐琅质,形成蛀洞。如果不及时治疗,蛀洞会越来越大,甚至影响到牙齿的神经,导致剧烈疼痛。

补牙,一场牙齿的“重生”
当蛀牙发展到一定程度,就需要进行补牙治疗了。补牙的过程大致分为以下几个步骤:
1. 清洁蛀洞:医生会使用专业的工具将蛀洞内的细菌和食物残渣清除干净。
2. 填充蛀洞:根据蛀洞的大小和位置,医生会选择合适的填充材料,如银汞合金、树脂等,将蛀洞填充。
3. 美观修复:为了使牙齿恢复到原来的美观程度,医生会对填充材料进行打磨、抛光等处理。
4. 检查效果:补牙完成后,医生会再次检查牙齿的情况,确保补牙效果良好。
补牙虽然是一个小手术,但过程还是有点让人紧张的。这时候,一些补牙视频就派上用场了。
补牙视频,让你轻松了解补牙过程
随着互联网的普及,越来越多的补牙视频出现在我们的视野中。这些视频从不同角度展示了补牙的全过程,让我们对补牙有了更直观的了解。
1. 术前准备:医生会向患者介绍补牙的注意事项,并告知患者手术过程。
2. 清洁蛀洞:医生使用专业工具清除蛀洞内的细菌和食物残渣。
3. 填充蛀洞:医生选择合适的填充材料,将蛀洞填充。
4. 打磨、抛光:医生对填充材料进行打磨、抛光,使牙齿恢复美观。
5. 术后护理:医生会告知患者术后注意事项,如保持口腔卫生、避免辛辣食物等。
这些补牙视频不仅让我们了解了补牙过程,还让我们对医生的技术有了更深的认识。下面,就让我为你推荐几个值得一看的补牙视频吧!
推荐补牙视频
1. 《补牙全过程》:这是一段时长约5分钟的补牙视频,详细展示了补牙的各个环节。
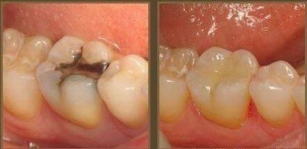
2. 《补牙前后对比》:这段视频通过对比补牙前后的牙齿情况,让我们直观地感受到补牙的效果。
3. 《补牙手术现场》:这是一段时长约10分钟的现场直播视频,让我们近距离感受补牙手术的过程。
4. 《补牙术后护理》:这段视频介绍了补牙术后的注意事项,帮助我们更好地进行术后护理。
5. 《补牙专家访谈》:这是一段时长约15分钟的专家访谈视频,让我们了解补牙的相关知识。
通过这些视频,相信你对补牙有了更深入的了解。当然,如果你真的出现了蛀牙,还是建议你尽快去医院进行治疗,以免病情加重。
蛀牙虽然让人头疼,但只要我们及时治疗,就能让牙齿重获新生。希望这篇文章能帮助你更好地了解蛀牙和补牙,让你在面对牙齿问题时不再迷茫。
本文由admin于2026-02-14发表在人妻傲人F奶,如有疑问,请联系我们。
本文链接:https://tdxingaisp.com/post/752.html