冬天来了,是不是觉得家里的毛衣款式单调,穿起来没有新意?别急,今天就来给你安利一波超实用的成人毛衣花样钩法视频,让你轻松学会多种...
你有没有想过,一个简单的呼啦圈,竟然能变成舞台上闪耀的明星?没错,今天就要带你走进一个充满活力与魅力的世界——成人呼啦圈表演视频...
亲爱的朋友,你是否曾在某个特别的时刻,想要用一种特别的方式,为你的朋友送上最真挚的祝福?比如,在他们即将迈入成年的重要时刻,送上...
亲爱的动漫迷们,你是否曾幻想过那些传说中的神龙化身为人间的英雄?今天,就让我们一起穿越时空,探寻那些神龙变成人的动画视频大全,感...
你有没有想过,在这个信息爆炸的时代,成人影视视频竟然也能成为人们茶余饭后的谈资?没错,就是那种让你心跳加速、脸红心跳的影视作品。...
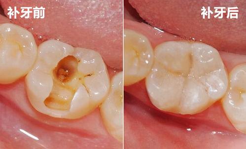
最近是不是觉得嘴巴里有点不舒服,牙齿隐隐作痛?别担心,这可能是蛀牙在作怪呢!今天,就让我带你一起走进蛀牙的世界,看看那些让人头疼...
亲爱的编织爱好者们,你是否曾梦想着亲手编织一件温暖舒适的毛衣,为自己或心爱的人打造一份特别的礼物?现在,就让我们一起走进这个温馨...
你有没有发现,最近你的朋友圈是不是也被那些萌萌哒的猫咪短视频给刷屏了?没错,就是那种让你忍不住点开再看一遍,甚至忍不住想要模仿的...
你有没有想过,在这个快节奏的时代,人们对于生活的追求越来越多元化,连情趣用品都变得如此丰富多彩呢?今天,就让我带你一探究竟,揭秘...
你有没有遇到过这样的尴尬情况:成人了,包茎问题还是困扰着你?别担心,今天就来给你揭秘如何正确地往上推包茎,让你重拾自信!一、了解...